選定基準について
当サイトでは、大阪エリアの歯科クリニックを対象に、公式サイト上で公開されている情報をもとに比較評価を行っています。各クリニックの5項目(実績、技術、設備、料金、口コミ評価)に基づきスコアリングしています。
これらの情報を総合的に判断し、独自の基準で総合スコア(100点満点)として算出しています。
- 【実績】症例数や治療経験、対応範囲などをもとに評価
- 【技術】医師の専門性や治療体制をもとに評価
- 【設備】治療の精度・安全性に関わる設備環境をもとに評価
- 【料金】料金(片顎)を比較し、低価格かつ明瞭さで評価
- 【口コミ評価】Google上の口コミ投稿数をもとに、利用実績の目安として評価
大阪つつい歯科・矯正歯科 |
フリージア歯科クリニック |
大阪デンタルクリニック |
てらい歯科クリニック |
スマイルプラン歯科クリニック |
|
|---|---|---|---|---|---|
| 総合スコア | 92点 |
89点 |
86点 |
83点 | 80点 |
| 各項目のバランス◎ 総合的に評価が高い |
価格と技術の バランスが良い |
即日対応など スピード対応に強み |
|||
| 特徴 | ニューヨーク大学卒インプラント科卒業の院長が全て担当 | インプラントメーカーごとに価格設定で明瞭会計、静脈内鎮静法を採用 | 抜歯した当日に 歯が入る 「抜歯即時荷重」 |
インプラントメーカーと専属契約により 低価格 |
大阪・兵庫で6院 があり通いやすい |
| 使用しているメーカー | Dio、ストローマン、ノーベルバイオケア | ストローマン DIO |
ストローマン、 Dio、オステム |
Dio | ストローマン DIO |
| 痛みについて | 静脈内鎮静法 | 静脈内沈静法 | 静脈内鎮静法 | 麻酔 | 麻酔 |
| 実績 | ![]() |
![]() |
![]() |
![]() |
![]() |
| 豊富な実績オールオン4 症例 33アーチ、 インプラント治療 通算18,000本以上 |
一定の実績あり日本口腔外科学会所 属の歯科医師により 専門性の高い オールオン4治療 |
一定の実績あり大手医療法人で 院長・分院長経験 |
一定の実績あり | 一定の実績あり | |
| 技術 | ![]() |
![]() |
![]() |
![]() |
![]() |
| 高度な技術力世界トップレベルの知識や医療技術 | 高い技術力デジタル技術を 活かした治療 |
高い技術力難症例、短期集中 治療にも対応 |
一定の技術力 | 一定の技術力 | |
| 設備 | ![]() |
![]() |
![]() |
![]() |
![]() |
| 高度・充実マイクロスコープ、CT、口腔内カメラ、独立オペ質等を完備 | 高度・充実CT、口腔内スキャナー、口腔内カメラ等を完備 | 高度・充実マイクロスコープ、CT、口腔内スキャナー等を設備 | 高度・充実 | 高度・充実 | |
| 料金(片顎) | ![]() |
![]() |
![]() |
![]() |
![]() |
| 2,420,000円セラミック 追加料金なし |
3,300,000円 2,500,000円選べる料金形態 |
2,750,000円 | 2,200,000円 | 2,750,000円 | |
| 口コミ評価 | ![]() |
![]() |
![]() |
– | – |
| 特に高い ★4.8(231件) |
高い★4.1(93件) | 高い★4.2(36件) | – | – | |
| こんな人に 向いている |
技術重視、 静脈鎮静希望、 設備重視 |
技術重視、 静脈鎮静希望、 設備重視 |
技術重視、 静脈鎮静希望、 設備重視 |
費用を抑えたい方、 設備重視 |
通いやすさ重視、 麻酔 |
| エリア | 肥後橋駅 直結 |
本町駅 徒歩3分 |
JR「大阪」駅 徒歩5分 |
南茨木駅 徒歩2分 |
JR「大阪」駅 徒歩3分 |
| 予約ページ | ![]() |
![]() |
![]() |
![]() |
![]() |
※掲載内容は調査時点の情報であり、最新の内容と異なる場合があります。


世界基準・世界レベルの治療をうけることができるクリニックです。
また歯がボロボロの状態から最短1日で全ての歯を揃えることができます。
また毎月5名様限定でモニターを募集しており月々23,900円から受けることができのも嬉しい点dです。
無料カウンセリングを予約
ニューヨーク大学インプラント科卒業の院長が全ての治療を担当

オールオン4は技術と経験を持った歯科医師しかできない治療です。
世界トップレベルの知識や医療技術を元に数多くの症例を担当してきた院長・筒井が責任を持ってすべての患者さまの治療を担当。
大阪歯科大学の麻酔専門医と連携した「無痛治療」

インプラント治療で手術が必要となると痛みを不安に思われる方が多いと思います。
大阪つつい歯科・矯正歯科さんでは、大阪歯科大学の麻酔専門医の先生と連携し、無痛で治療ができる「静脈内鎮静法」を行うことができるようです。
また、手術後の腫れに関しても、切開・剥離・縫合等の腫れの原因となる治療行為を高い技術で行うことで最小限に抑えます。
セラミック追加料金ナシ

大阪つつい歯科・矯正歯科さんのオールオン4は標準でオールセラミックを採用。
強度も美しさも兼ね備えたジルコニアのオールセラミックが料金に含まれますので追加料金が発生しないようです。
オールセラミックは、一般的に100万円程度追加でかかるクリニックが多いです。
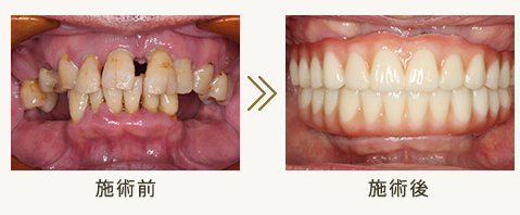
大阪つつい歯科・矯正歯科さんのオールオン4の症例

また、Googleマップを元に口コミも確認してみました。オールオン4に関する口コミのみ抜粋しています。
大阪つつい歯科・矯正歯科さんのオールオン4の口コミ
Googleマップの実際の口コミをまとめてみました。
歯科恐怖症、嘔吐恐怖症で従来の型取りができないので歯がボロボロでした。そんな時つつい歯科を見つけてここなら苦手な型取りも最新のスキャナーででき、また苦しくならないよう気遣いもしてくださります。私は上の歯が特にボロボロだったのでオールオン4と言うインプラントを4本入れて1日のうちに仮の歯が入る手術をしていただきました。手術も痛みもなくリラックスすることができました。
今回オールオン4をやりました。院長先生をはじめスタッフの方々の話を聞き不安な気持ちは無くなり治療をお願いする事にしました。治療は痛みも無くとてもスムーズで3ヶ月もすればまともな食事ができるようになり本当にびっくり。今では好きなものを食べれる、人前で口を開けて笑えるといった良いことずくめ。本当に良かったなと思っています。
わからない事は直ぐに聞けたので、本当に安心してお任せしております。大阪でも数多くの歯科がオールオン4を宣伝してますが、アメリカ及び日本での多くの経験と圧倒的な知識力から来る安心感は、絶対にお勧め出来ます。多額の費用がかかる治療なので、失敗したくないなら、是非相談だけでも行く価値のあるクリニックです。
- ニューヨーク大学インプラント科卒の院長が全て担当!
- 最短1日・オールセラミックで丈夫な歯に
- モニター価格適用で30万引き・月額2.3万円から
無料カウンセリングを予約


静脈内鎮静法を採用していたり、インプラントメーカーごとに費用が設定されており明瞭会計になっています。
またモニター募集行っているようです。
無料カウンセリングを予約
インプラントメーカー事に選べる料金形態
| 通常 | 通常価格 | モニター価格 |
| ストローマン片顎 | 3,300,000円 | 3,080,000円 |
| DIO片顎 | 2,500,000円 | 2,200,000円 |
インプラントメーカーによって価格がことなります。
またモニター制度を適用することで、300,000円分お得に受けることができます。
・各インプラント 月3名まで
・口の中の写真を使用(顔はわからないようにする)
・学会やセミナーでの写真の使用
・術後の簡単なアンケート
静脈内鎮静法を採用
大阪つつい歯科・矯正歯科さんと同様、静脈内鎮静法を使用していました。
実績のある歯科麻酔科学会の専門医と連携しており、患者様の不安を極力取り除けるよう、
静脈内鎮静法(点滴麻酔)を受けることが可能です。
うとうとしたようなぼんやりした状態になり、治療に伴う不安や恐怖感、
ストレスによる血圧や脈拍の変動、嘔吐反射などの症状を軽くすることができます。
ドリルの音が怖い、治療中オエッとなったことがある、とにかく痛いのは嫌だという人はオススメです。
無料カウンセリングを予約


インプラント治療の他にも、歯周病治療、マウスピース矯正を得意としているようです。
無料カウンセリングを予約
眠っている間に治療が終わる「睡眠無痛治療」
同院では大阪つつい歯科さん同様「睡眠無痛治療(静脈内鎮静法)」を導入しています。
点滴で鎮静剤を投与し、患者はほぼ眠ったようなリラックス状態になるため、うとうとしている間に手術が進むのが特長です。
術中の痛みや恐怖を感じにくく、多くの場合で処置の記憶が残らないとのことで、歯科治療への不安が強い人にも配慮された麻酔法だと思います。
抜歯した当日に歯が入る「抜歯即時荷重」
一般的なインプラント治療では、抜歯した傷口が塞がり、骨が安定してからインプラントを埋め込みますが、「抜歯即時荷重」という術式では、歯を抜いた当日に新しい歯が入ります。
歯を抜いた穴にインプラントを入れるので、治療期間が短くなり、来院していただく回数も少なくなります。
無料カウンセリングを予約

てらい歯科クリニック

インプラントメーカーと専属契約を結んでいることで、低価格でインプラントを受けることができるようです。
とにかく安く受けたいという方にもオススメです。
無料カウンセリングを予約
インプラントメーカーと専属契約により低価格を実現
大手インプラントメーカー「Dio」との専属契約をすることで、低価格でのインプラントを受けることができます。
インプラント専門クリニックだからこそできる一括仕入れにより材料費を大幅に削減することで、片顎業界最安値220万(税込)という価格が実現できたようです。
500本以上のインプラント埋入実績を持つ院長が担当
てらい歯科さんでも、院長の寺井先生が担当してくれます。
日本臨床歯周病学会の会員でもあり、500本以上のインプラントの埋没実績がもっているため、安心して受けることができます。
無料カウンセリングを予約


梅田、なんば、茨木、高槻、西宮でインプラントを受けることができます。
無料カウンセリングを予約
最新機器と設備を導入
X-Guide(エックスガイド)により、インプラントの位置・角度・深さを高精度に誘導し経や上顎洞を避けやすく、安全性が高まります。
複数本や角度付き埋入を伴うオールオン4でも効果を発揮。来院回数の削減にもつながります。
また、3Dのデジタルレントゲン装置を備えており、位置通りにインプラントを埋め込むための計画を立案することができます。
無料カウンセリングを予約
インプラントよりもオールオン4(フォー)が人気の理由
治療が早い・総額を抑えやすい・体への負担が少ない。この3点が選ばれる理由です。
01|治療期間がはるかに短い

通常のインプラントは1本ずつ埋入するため、完了まで3ヶ月〜1年かかることもあります
対してオールオン4は必要本数が少なく、手術当日に歯が入るため治療期間を圧倒的に短縮できます。見た目と噛む機能を早期に回復でき、治療中の生活ストレスも最小限に抑えられます。
02|トータル費用を抑えやすい

従来法では本数が増えるほど費用が膨らみます。たとえば上顎10本の埋入なら35万円×10本=350万の試算。
一方、オールオン4は片顎220~240万円で4本の埋入ですべての歯を入れる方式のため、総額を抑えやすいのが特長です。
03|体への負担が少ない
埋入本数が少ないほど手術時間は短く、切開箇所・回数も減ります。
通常のインプラントのように1本ごとに処置を重ねる必要がないため、腫れや痛みが少なく回復もスムーズ。
オールオン4は最大4本で済むため、体への負担をできる限り抑えたい方に適した治療法です。





92点
89点
86点


著者プロフィール
詳細を公式サイトでみる